CATEGORÍA: Salud

La Ponencia de Vacunas, en línea con la EMA y el ECDC, recomienda administrar una dosis adicional de las vacunas COVID-19

01 septiembre 2021

España proporcionará una dosis adicional a personas inmunocomprometidas, pero por el momento deja fuera a la población general

Salud  Farmacia 

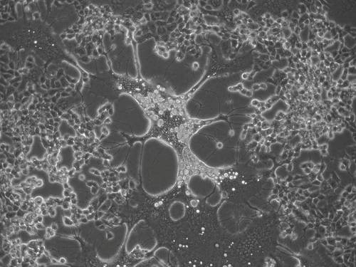
El virus del herpes genital humano evoluciona más rápido que el labial

31 agosto 2021

Un estudio del CSIC muestra que el virus del herpes simple, uno de los patógenos humanos más prevalentes y para el que no hay cura ni vacuna, acumula cambios al replicarse. Este conocimiento podría servir para desarrollar antivirales.

Salud  Farmacia 

Más de un millón de valencianos se han beneficiado en lo que va de año del copago farmacéutico y ortoprotésico

23 agosto 2021

El Consell de la Generalitat ha destinado a estas ayudas más de 65 millones de euros

Salud  Farmacia 

Dos estudios asocian nuevos defectos genéticos e inmunológicos con la covid grave

20 agosto 2021

Un consorcio científico internacional ha detectado una mayor gravedad de la covid-19 en pacientes con errores en el gen TLR7

Salud 

Categorias

Etiquetas

Farmacias abiertas y de urgencia más cercanas