CATEGORÍA: Salud

Uno de cada tres españoles tiene problemas para dormir

13 diciembre 2017

Dormir bien es fundamental para el correcto funcionamiento del sistema nervioso. Además, durante el sueño se produce la regeneración de nuestras células, la circulación sanguínea es más fluida y la piel asimila mejor los activos

Salud 

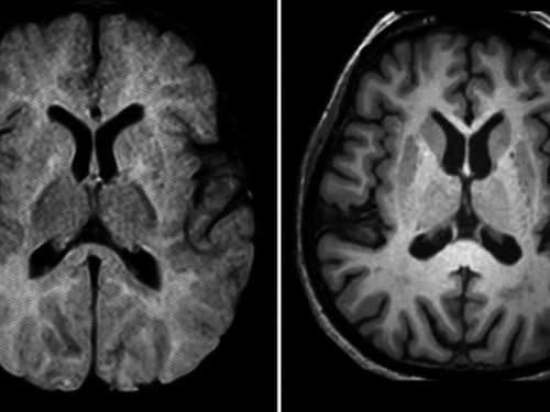
Un nuevo fármaco consigue frenar por primera vez la enfermedad de Huntington

12 diciembre 2017

El medicamento, desarrollado por un grupo de investigadores británicos, ha logrado reducir el nivel de la proteína tóxica que causa este grave trastorno neurodegenerativo.

Salud 

Nuevas opciones para tratar el raquitismo

21 noviembre 2017

El raquitismo hipofosfatémico ligado al cromosoma X (la forma más común de los raquitismos hereditarios) es una enfermedad rara que afecta a uno de cada 20.000 niños en el mundo y en nuestro país, 45 familias padecen sus consecuencias.

Salud 

Llegan los medicamentos zombis: la talidomida ahora combate la lepra

02 noviembre 2017

La talidomida sigue usándose como tratamiento para la lepra y algunos casos de cáncer

Salud  Sanidad  Farmacia 

Así se elige cada año la vacuna de la gripe

31 octubre 2017

Viaje a la planta que fabrica el 40% de los viales en todo el mundo

Salud  Sanidad  Farmacia 

Categorias

Etiquetas

Farmacias abiertas y de urgencia más cercanas